看過相關報導,在毛小孩七歲以前,醫生皆建議一年做一次健康檢查
而七歲以後則是一年兩次!Tila今年七月即將滿9歲,光陰似箭,本篇記錄Tila妞2016年初的健康檢查
2016年底健康檢查則是在品安動物醫院,一年多來也都是在品安看診!

歡迎按讚追蹤《Claire’s Diary。C妞日記》♥♥
分享美食、寵物、手作、旅遊、美妝!與C妞和TILA歡樂度過每一天

毛小孩跟人類年齡的對照表,TILA現在是44~48歲中間,比我還大耶!!
不過TILA在我心中永遠是可愛的小美女兒

每年度都習慣帶Tila去健康檢查,資料也都留存的完完整整
不過2015Tila妞沒有健檢,2014的健檢也沒特別寫文紀錄
就這樣空了兩年記錄,以往Tila妞都是在石牌的芸林動物醫院做健康檢查
現在芸林已經不是芸林了…在健檢的醫院挑選上著實讓我費心許久
最後選擇到靠近台大的碩聯動物醫院進行Tila妞的健康檢查

第一次到碩聯,我還蠻緊張的
明明要健康檢查的人不是我但我真的很緊張
我希望醫生能愛小動物像我一樣,能用心的診斷小動物如對待自己的新人
費用都是其次,有沒有醫德、醫術、愛心都是重要的
到醫院後繼先填寫初診病歷表,碩聯主要採約診制
最近有毛小孩健康檢查85折的優惠,

好哩!!
當天幫Tila妞健康檢查的是陳沁彤醫師
醫師感覺就跟我們差不多年紀,好年輕呢!!
((這是順便在捧自己也很年輕的意思嗎!!哈哈
橘寶是院長~~但他是隻貓唷!!超可愛的~脾氣很好^^



橘寶來巡視醫院啦~~


我有準備Tila妞以往健康檢查的紀錄
讓醫師可以很快的先了解Tila妞的健檢資料


診間

在進行健康檢查前,陳醫師有跟我說會看情況要不要打鎮定
如果Tila都能讓他乖乖的照X光、掃超音波,那就不需要打鎮定
如果有需要打鎮定的話,也會先電話跟我告知、討論

以往TILA健康檢查都是有打鎮定
所以我對於這部分很尊重醫生的建議
陳醫師的想法是如果毛小孩是在能控制的情況下
不需要打鎮定,因為這些藥劑都還是需要身體器官慢慢去代謝藥量
沒必較增加身體的負擔
如果之後有要健檢順便洗牙的話,就可以打鎮定了
因為洗牙麻醉前的鎮定是必經之路
((這次沒同時安排洗牙,因為醫生還沒看過Tila妞,想等健檢後再決定

和以前在芸林健康檢查的比較不一樣的是
照X光和超音波的時候主人無法在旁邊觀看或陪伴
就是先跟醫師確認好希望健檢的項目後,狗狗交給醫院
由醫師和助理們進行健康檢查
主人可以在外面或者是去喝個咖啡
就這樣,把Tila妞交給陳醫師帶進去健康檢查了
一種學會放手著狀態
告訴自己醫師會好好照顧Tila妞不要要擔心

我們在附近吃了早餐,早餐一吃完我就想要快點回醫院等Tila妞
回到醫院,等了一下下~~Tila妞被抱出來啦!!
沒有被打鎮定耶!! 她們說Tila妞很乖,X光和超音波都很順利
肚肚毛因為照超音波的關係被剃光光~
接下來也是等待的時間,陳醫師會把檢驗報告整理好
然後再跟我們解說~~~
一共有血檢資料
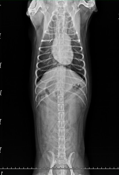
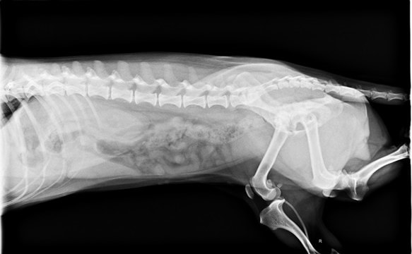
X光 (共照了4張)
超音波的部分我這邊還沒有,因為碩聯說超音波的檔案燒錄要比較久
如果有需要可以提前說,她們燒錄好後再去拿!
簡單一句話來說:「Tila妞是健康寶寶,但建議可安排洗牙!」
哈哈哈~~洗牙啊!! Tila妞後面的牙齒真的超難刷到的
久而久之我就自暴自棄…真的是很不應該的主人
會再找時間幫Tila妞安排洗牙
以下為Tila妞健檢筆記

1.建議洗牙
驗血過後兩周內都可以安排洗牙,血檢中的重要數值都很ok
(如:血小板也都正常)
刷牙小tips:嬰兒牙刷搭配寵物牙膏,’讓狗狗邊咬牙膏牙刷,邊伸進去刷
因為牙結石一兩天就會形成,每天要刷牙是很重要的
陳醫師說tila掃超音波時有點害怕,但照x光的配合度很高
((可能之前的經驗很豐富吧))
2.血檢:
血溶比(HCT)有變正常
已禁食水8小時的狀態下,檢測出來還蠻正常的
若數值60-70就是脫水
白血球如果是常出門的狗狗正常偏高是ok的
因為常出門,自體機制面對外來細菌的免疫反應
白蛋白-營養指數
免疫球蛋白-當有慢性發炎感染時會升高
血糖-關乎”糖尿病”,tila是都正常值
肝指數-很滿意,因為tila在正常內還要偏低
腎指數-偏低,腎臟好
如果以tila平常肉類攝取量算多的情況下,腎指數還偏低
代表腎臟都有認真工作也不會過度費力,非常好
通常會建議年紀大的狗狗蛋白質攝取要少一點點
陳醫師說:狗狗是雜食性的,各種營養可以均勻攝取
tila的體型也非常標準不用擔心
腰很細!腰很細!腰很細!
((這很重要要打三次)) 有人都說tila很胖!!哪裡胖~
tila現在5.35耶!!苗條到爆炸,我都53.5了 ((最近應該是52
只要體重不要突然胖到6公斤,左右兩三百克都是可以的^^




3.X光片
左邊膝蓋是鬆的,但走路看起來很好
沒有跑一跑突然掰咖,舉例來說紅貴賓容跑一跑跛腳,膝蓋會甩一下
膝關節異位這類的情況,但如果不影響日常生活就不需要手術的
左腳的膝關節有點偏移
tila是臘腸犬,可以補充關節軟骨保護劑,當作保養
有稍微擠迫一點點,但基本神經學檢查反應~腳腳的肌肉都非常好
髖關節的部分和以前沒差多少,以100分來說算85分
以臘腸品種這年紀來說算漂亮的,即早保養最好、神經傳導目前看也都好
髖關節右腳比左腳漂亮一點點 ((很愛用漂亮形容
骨骨頭左邊沒有那麼圓潤、股骨頸沒有過度的增粗
胸腰椎,每個椎體間隔都還漂亮、不會過度狹窄
胸腔、腹腔、心肺都很乾淨!漂亮!
血管很明顯
胸腔也都乾淨、無擴張,心臟大小跟以前差不多
心臟看起來很大,但臘腸狗的比例算是標準的
不用進階心臟照超音波
但如果開始有發現運動不耐、咳嗽、半夜夜咳
則要做心電圖或心臟超音波 ((往年健檢都有做心電圖
4.超音波
腎臟5*2 質地沒有非常漂亮但沒有明顯問題
腎臟皮脂,看起來有一點點變形 但功能都是正常的
每年追蹤很重要,看有沒有變大或變小
腎上腺也都是漂亮、標準
肝臟-質地大小都好
膽囊-有點大,但已禁食水8小時的狀態下,膽囊大小是ok的
脾臟-有一點點大,但不用很擔心~~ 質地也均勻
該掃都有掃到、所以沒有特別麻醉

5.皮膚偶爾都會有狀況
集中在肚子和胸口,可以吃一下皮膚藥
戴頭套避免舔拭,洗藥浴
肚肚留毛是ok的,可以保護皮膚不會直接接觸地面
吃藥是壓抑癢和感染,最後我們拿了一週口服藥搭配藥浴
6.四合一
全部安全過關
其實tila已經很久沒有吃心絲蟲的預防藥
因為曾經看過相關文章說這些藥也是會對身體造成負擔
所以tila沒以吃犬新寶很久,蚤不到也是夏天才點
陳醫師告訴我關於這些用藥,不需要擔心
因為他們的劑量很低,不會有身體實質上的傷害
建議可以用寵愛,針對跳蚤還有心絲蟲一次預防
而tila不是天天都出門上廁所的狗狗,寵愛的防護算足夠
要小心血液寄生蟲、壁蝨
大概就是這樣啦!!
tila妞要一直健健康康的,陪伴我呷百二唷~~
毛孩子不舒服不會開口說,而且他們比我們還會忍痛
有的時候真的發現身體有狀況時已經是很嚴重了
定期健康檢查,有異狀就去給信任的醫院檢查
愛毛孩子,就要好好照顧毛孩子唷!! 以上~~共勉之!!
((用TILA尿尿完擦擦的照片當ending)
2016健檢費用:NTD $4790
►動物醫院‧狗狗健康檢查
►醫院:碩聯動物醫院
►地址:台北市大安區辛亥路二段143號
►電話:(02)2736-6549
►評價:TILA妞2016年度健檢,醫生說明仔細診所感覺也很舒服
Claire’s Diary粉絲頁
我與TILA妞的生活點滴
歡迎加入→ C 妞 ♥ 拍義賣&團購秘密基地 一起團購、C妞二手拍兼做公益唷!!





